联系我们

山东魁丰生物科技有限公司 

地址:山东省.泰安市.泰前

电  话:0538-8505866 

传  真:0538-8505966

财富热线:18660886576 


水产动物营养性疾病之鱼类脂肪肝

您的当前位置: 首 页 >> 行业资讯

水产动物营养性疾病之鱼类脂肪肝

发布日期:2020/10/7 15:41:23 作者:魁丰生物有限公司 点击:2038

肝细胞内甘油三脂蓄积过多为主要病理变化。脂肪肝病已成为水产养殖业的一大难题。

“ 河魨脂肪肝

“ 黄鳍鲷脂肪肝

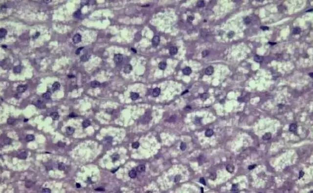
“ 镜下脂肪滴

“ 脂肪变性

“ 肝脂肪空泡

“ 正常鲤鱼肝胰脏

“ 鱼脂肪肝的“生产”过程

鱼的肝脏两种类型:

1、肝细胞内含糖原为主。光鳃鱼、冰鮎等。2、肝细胞内含脂肪为主。河魨、黄盖鲽等,天生脂肪肝。脂肪肝的原因:饲料原因 :养殖鱼类约90%以上有脂肪肝。

非饲料原因:(1)水体中有毒、有害物质多;(2)长期、大量内服药物。(3)影响肝脏脂肪代谢的其他疾病。

脂肪肝的影响因素:1.脂蛋白合成障碍:以致不能将脂肪运输出去,造成脂肪在肝细胞内堆积。

原因:合成脂蛋白的原料如磷脂或组成磷脂的胆碱等物质缺乏,或由于化学毒物(如酒精、四氯化碳)或其他毒素(如霉菌毒素)破坏内质网结构或控制某些酶的活性,使脂蛋白及组成脂蛋白的磷脂、蛋白质等的合成发生障碍所致。

2. 中性脂肪合成过多:摄食量太大,致肝合成脂肪增多,超过了肝将其氧化利用和合成脂蛋白输送出去的能力,于是导致脂肪在肝内的蓄积。养殖动物脂肪肝的主要原因。

3. 脂肪酸的氧化障碍:使细胞对脂肪的利用下降。例如有些毒素等能干扰脂肪酸的氧化过程,而缺氧即影响脂蛋白的合成,又影响脂肪酸的氧化。

脂肪肝的饲料原因:蛋白、脂肪、糖类含量高(某一种);胆碱(等甲基供体)不足、磷不足;投喂量大,生长快(草鱼);膨化饲料中高能量所致(如海水鱼、黄鳝);挤压料中碳水化合物多(普通鱼成鱼);投喂变质饲料或含酒精药物的原料;投喂冰鲜鱼(大黄鱼喂鲐鱼类,乌鳢喂海鲶鱼)脂肪肝的危害:病鱼抗应激能力下降。影响鱼肉品质,高温季节还会大量死亡。摄食减少。

脂肪肝防治:针对病因治疗。(1)配方合理。(2)高温季节降低营养物质浓度,减小投喂量,控制生长速度;(3)控制膨化料中淀粉含量(加州鲈配方从26%降到20%,脂肪肝不发生了)。(4)易患病鱼饲料配方加大胆碱含量。(5)注意饵料鱼的品种,及时更换。脂肪肝的结局1、脂肪代谢出去→恢复2、细胞坏死 → 消失→ (纤维增生)鱼类直接死亡


(文章来源:海润)

Copyright © 2018 山东魁丰生物科技有限公司 版权所有   技术支持:诺盾网络       管理入口     鲁ICP备18043340号-1